Galerie IMPLANTÁTY
Galerie zhotovených implantologických prací
- máme zkušenosti s řešením takřka všech defektů vzniklých ztrátou zubu(ů)
- používáme prověřené a spolehlivé materiály, uzkostlivě dodržujeme veškerá hygienická nařízení a protokol
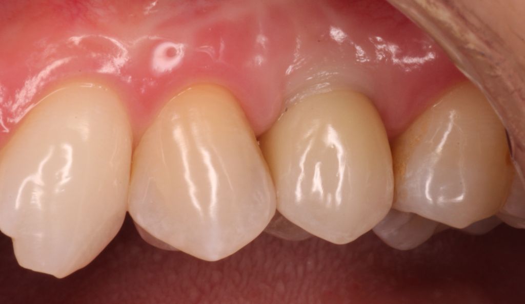
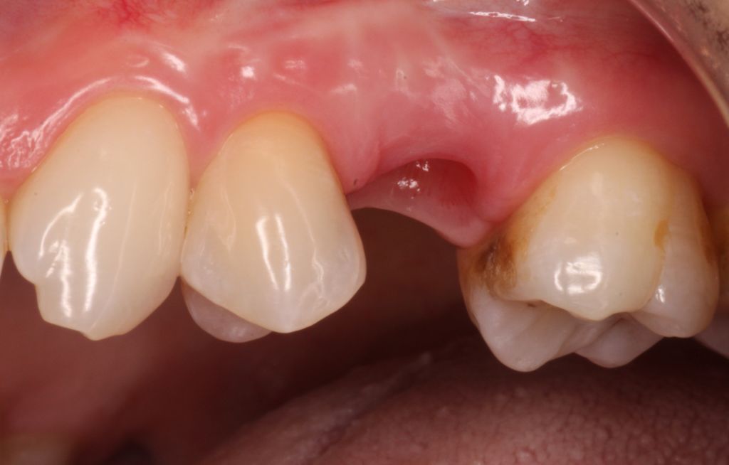
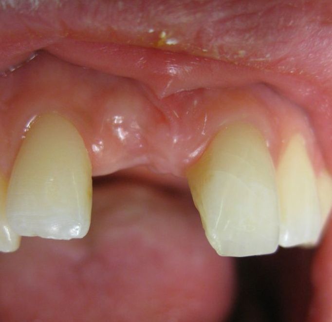
ztráta jednoho zubu - řezák
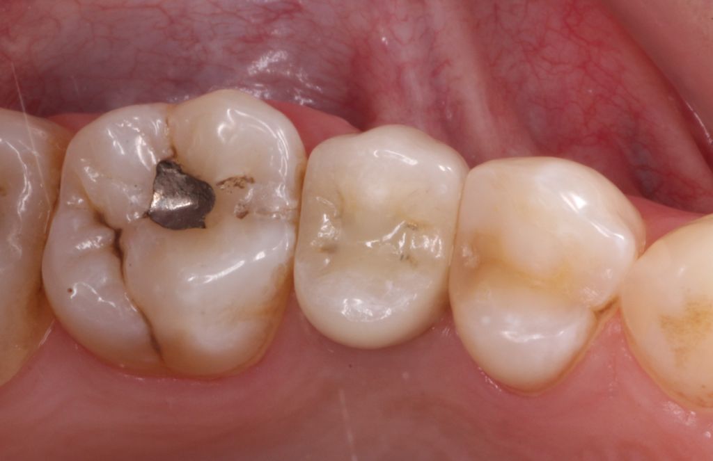
ztráta jednoho zubu - premoláry a stolička

ztráta všech zubů - celková konstrukce

ORDINAČNÍ HODINY
Zubní ordinace
Dentální hygiena
| PO | 08:00 - 14:00 |
|---|---|
| ÚT | 08:00 - 16:00 |
| ST | 13:00 - 20:00 |
| ČT | 08:00 - 14:00 |
| PÁ | 08:00 - 15:00 |
Dentální hygiena
| PO | 14:00 - 20:00 |
|---|---|
| ST | 08:00 - 13:00 |
Kontakty
Dentální Centrum
Urbánek s.r.o.
Londýnská 45/665
120 00 Praha 2
Email: info@dcupraha.cz Telefon: 777 873 505
SPOLUÚČAST POJIŠŤOVEN
Informace o spolupráci s pojišťovnami zde!
Novinky
29.3.2023
Návrat sestřičky po mateřské dovolené
Od března 2023 se můžete v ordinaci opět setkávat se setřičkou Janou Stádníkovou, jež se vrátila po...
1.1.2017Akceptace plateb zaměstnaneckými benefity - Benefity, Benefity Plus, Edenred
Naše ordinace spolupracuje již s třetím poskytovatelem zaměstnaneckých výhod. Mimo již dřívější...

